Dental exams are used to help find tooth decay, gum disease, and other oral health problems early, when they’re easier to treat. The exams are also used to help educate people on the best ways to care for their teeth and gums
Regular dental examinations play an important role in preventative oral health care. Routine oral examinations are the best way to avoid future dental emergencies which may be costly. It provides the opportunity for the patient to get advice on caring for his/her teeth and what their general oral health status is.
If you don’t have any pain in your mouth, it usually means no dental issues, right? Not necessarily. If you are just going to the dentist whenever you’ve got an issue, you are doing yourself a big disservice. A dental examination is an important part of a proactive oral care plan. Yearly dental examinations by a dentist are needed to find tiny problems before they turn into bigger ones.
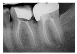
When you have a problem with your teeth, your dentist will first do a visual examination to give you the answers you’re seeking. But a visual examination doesn’t always give you all the necessary information. That’s where X-rays can be beneficial. They help dentists detect possible decay or diseases that just aren’t visible to the naked eye.
X-rays, also known as radiographs, allow your dentist to see between and inside your teeth. Dental X-rays are important because they give your dentist the whole picture. They help dentists see the condition of your teeth and also the roots, jaw placement, and facial bone composition. They will help your dentist find and treat dental problems before they become too serious or advanced.
The dentist can diagnose or ‘uncover’ gum disease, tooth decay, and other dental conditions early enough with the images.
They aid the dentist to diagnose dental infections. The dentist uses the results from the x-rays to identify symptoms of infections, even before they become evident. This helps treat those conditions as early as possible before they become worse and require advanced treatment.
Dental X-rays can show:




Routine check-ups and cleanings play a crucial role in helping to keep your teeth and gums healthy. A healthy mouth can also help to protect the rest of your body from serious medical disorders.
Professional teeth cleaning are the keystone of preventive dentistry and its focus on minimizing or avoiding oral health issues. The importance of dental exams and cleanings is further underscored by the financial benefits. Making sure your oral health stays in good condition can avoid costly dental procedures later
Professional teeth cleaning (oral prophylaxis) by a dentist or dental hygienist will eliminate build-ups of bacteria, plaque and tartar, which can develop even if you brush and floss regularly.
Dental professionals use special tools to gently remove these deposits. If plaque hardens into tartar (dental calculus), it can only be removed by a dental professional.
Your dental cleaning will also include flossing between your teeth and polishing to eliminate stains and leave your mouth feeling ultra-fresh.
If you have a build-up of plaque beneath the gum line, your dentist or dental hygienist can fix the problem with a procedure called scaling – a specialized form of dental cleaning that’s routinely used in cases of gum disease.
Professional cleanings help to prevent cavities and tooth loss, and gum disease, while giving you fresher breath and a brighter smile.
Studies have established links between oral health and overall well being, and dental cleanings can help to lessen the risk of ailments such as cancer, lung infections, heart disease and stroke, and diabetes.
Over time a tooth surface such as enamel and dentine may become decayed or damaged. Fillings(restorations) are used to fill the cavity and repair the tooth. There are many different types of filling materials that can be used but the two main types are composites and amalgams.
Composite fillings are strong, but not as hard wearing as amalgam fillings. Composites are tooth coloured and are made from powdered glass quartz, silica or other ceramic particles added to a resin base. The tooth is usually cleaned out or adjusted before a filling is bonded onto the tooth. The dentist will choose a shade to match your own teeth, although over time staining can happen.These are perfect for teeth that need to be restored and are in the ‘smile-line’ where there is a higher need for aesthetics.
Amalgam fillings are silver coloured and very strong. They are made up of mercury and a silver alloy (50% mercury, 35% silver, and 15% tin, copper and other metals). Once again the dentist has to remove the decay and prepare the tooth area prior to placing the amalgam filling.
You can have stronger, more attractive teeth through cosmetic dentistry with tooth-coloured fillings. New generation composites have the look and feel of a natural tooth and can be matched to the exact shade of your natural teeth. It also enables the dentists to preserve more of your healthy tooth. Traditional amalgam fillings require that portion of healthy tooth be removed, while composites, only requires removal of the damaged tooth structure.
Instead of simply filling your tooth, Composites creates a permanent bond that reinforces your tooth from all angles. It also is more wear-resistant than a variety of other filling materials.
If the tooth is badly broken, your dentist may need to place a crown instead of a filling.
A tooth extraction is a dental procedure during which your tooth is completely removed from its socket. Sometimes, people refer to this as “pulling” a tooth.
If a tooth has been broken or damaged by decay, your dentist will try to fix it with a filling, crown or other treatment. Sometimes, though, there’s too much damage for the tooth to be repaired. In this case, the tooth needs to be extracted. A very loose tooth will also require extraction if it can’t be saved, even with bone replacement surgery (bone graft).
Here are other reasons:
Wisdom teeth, also called third molars, are often extracted either before or after they come in. They commonly come in during the late teens or early 20s. They need to be removed if they are decayed, cause pain or have a cyst or infection. These teeth often get stuck in the jaw (impacted) and do not come in. This can irritate the gum, causing pain and swelling. In this case, the tooth must be removed. If you need all four wisdom teeth removed, they are usually taken out at the same time.
If you expect to undergo any medical treatment prior to teeth extractions, be sure to discuss this with your dentist first to ensure that the treatments will not negatively impact each other. If any teeth need to be extracted, this should be done before your drug treatment begins. Having a tooth extraction after bisphosphonate treatment increases the risk of osteonecrosis (death of bone) in the jaw. Your dentist or oral surgeon will take an X-ray of the area to help plan the best way to remove the tooth. Be sure to provide your full medical and dental history and a list of all medicines you take. This should include both prescription and over-the-counter drugs, vitamins and supplements.
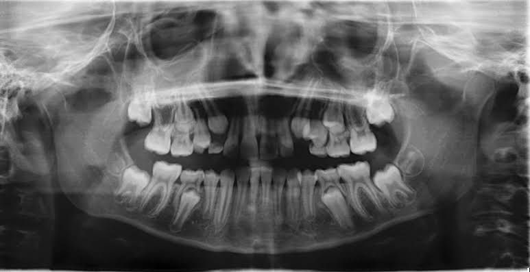
If you are having wisdom teeth removed, you may have a panoramic X-ray. This X-ray takes a picture of all of your teeth at once. It can show several things that help to guide an extraction:
You may have intravenous (IV) anaesthesia, which can range from conscious sedation to general anaesthesia. If so, your doctor will have given you instructions to follow. You should wear clothing with short sleeves or sleeves that can be rolled up easily. This allows access for an IV line to be placed in a vein. Don’t eat or drink anything for six or eight hours before the procedure.
There are two types of extractions:
You have probably heard the expression “prevention is better than cure” – it has never been more true than in dental health. Avoiding damage to your teeth through sound oral care beats trying to fix problems after they arise. Pit and fissure sealants, for example, are one of several methods for staving off the decay that leads to dental caries.
Even though pits and fissures occur naturally, they can deepen over time, leading to dental caries. As such, a child whose teeth show signs of pits and fissures may be a prime candidate for dental sealants. Pits are small hollows that occur on the biting surfaces of permanent teeth, whereas fissures are grooves in the outside of the tooth’s surface. In both cases, these areas can easily fill with germs, which may be difficult to remove with regular oral hygiene.
As these germs grow, they interact with the starches in the food you eat, turning them into acids that can eat away at tooth enamel. If this process causes enough decay, it eventually spreads to the inner pulp of the tooth. This can result in extremely painful and unsightly damage, which can cause lifelong dental problems.
Sealants are a safe and painless way of protecting your teeth from tooth decay.
Dental sealants coat and seal the grooves and hollows, preventing even the most harmful germs from building up on the tooth. The sealant forms a hard shield that keeps food and bacteria from getting into the tiny grooves in the teeth and causing decay. The size and depth of the hollows and grooves in your child’s teeth will determine whether he or she can benefit from the application of a sealant. These sealants are typically used on the molars at the back of the mouth, as those are the teeth that most frequently develop surface irregularities. The tooth is thoroughly cleaned, prepared with a special solution, and dried. The liquid sealant is then applied and allowed to set hard – usually by shining a bright light onto it. Sealants are often applied as soon as the first permanent teeth start to come through. This is usually between 6 and 7 years of age. The rest are usually sealed as soon as they appear which can be any time between 11 and 14 years of age.
Sealants usually last for many years, but your dental team will want to check them regularly to make sure that the seal is still intact. They can wear over time, and sometimes the dental team need to add or replace some sealant to be sure that no decay can start underneath it.
The smooth, sealed surface is now much easier to keep clean and healthy with normal brushing. Pit and fissure sealing reduces tooth decay and the number of fillings you might need.